¿Sufres de Absceso Dental? 【Causas, Síntomas y Tratamientos】

El dolor que causa un absceso dental es el síntoma de que algo no va bien. El problema es que cuando el absceso aparece es que ya se ha producido una infección en el diente así que es importante acudir al dentista cuanto antes para poner solución.
Los flemones son un problema que se puede prevenir para evitar complicaciones. Aquí te contamos cómo hacerlo y qué hacer si empiezas a notar los primeros síntomas.

ÍNDICE DE CONTENIDO
1
¿Qué es un Absceso o un Flemón Dental?
2
¿Por Qué Salen los Abscesos Dentales?
3
Flemón Dental: Síntomas
4
Cómo se Cura un Absceso Dental
5
Complicaciones de un Absceso Dental
6
¿Cómo es el Drenaje de un Absceso Dental?
7
Tips para Prevenir los Flemones Dentales
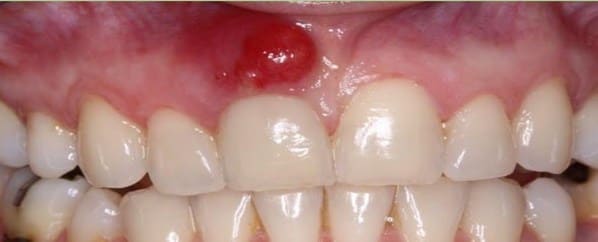
¿Qué es un Absceso o un Flemón Dental?
Un absceso dental, también conocido como flemón, es una acumulación de material infectado o pus que se produce en el interior de un diente a causa de una infección bacteriana.
Puede darse en personas de cualquier edad y condición ya que su aparición depende de la higiene dental. Al descuidarse ésta es cuando aparecen las caries que llevan al absceso dental.
Es una inflamación que resulta bastante dolorosa y que pone en peligro tanto la encía como el diente porque puede llegar a dañar la estructura ósea que sujeta las piezas. De hecho, en casos muy extremos no solo se llega a extraer el diente sino que hay que realizar cirugía en la mandíbula para restaurarla.

Tipos de Abscesos Dentales
Los abscesos dentales se clasifican en función de la parte del diente a la que afectan.
- Absceso gingival: también se conoce como absceso de encías ya que se forma en el tejido que se encuentra justo en el borde en el que la encía se une con el diente. Aparece por el deterioro que se produce en la encía a causa de factores externos como restos de comida que se almacenan en esa zona o por heridas provocadas por el uso de palillos de madera. Si se detecta a tiempo, es fácil de tratar.
- Absceso periapical: este absceso se produce en la pulpa del diente, normalmente a causa de una caries, de una infección en una muela o de la fractura de una pieza dental a través de la cual las bacterias acceden a la pulpa. El líquido se aprecia en el tejido adyacente al diente, que muestra una inflamación bastante grande. Es habitual que este tipo de absceso aparezca en las muelas del juicio ya que son más difíciles de limpiar y al dentista le suele costar más detectar caries tempranas en esa zona.
- Absceso periodontal: este absceso tiene un origen más profundo ya que surge en los llamados bolsillos de las encías, es decir, el espacio de separación entre el diente y la encía. En esa zona no es posible efectuar un drenaje del líquido purulento por lo que la infección puede llegar a extenderse hasta el hueso de la mandíbula.

¿Por Qué Salen los Abscesos Dentales?
La causa más común de los abcesos dentales suelen ser las caries. También puede suceder en el caso de que un diente se rompa, se astille o sufra cualquier tipo de fractura. Cuando alguna de estas lesiones ocurre, el esmalte dental se abre permitiendo de esta manera que las bacterias accedan con facilidad al interior del diente, es decir, a la pulpa. Si no se trata de la forma adecuada, esta infección puede extenderse no solo a la raíz de la pieza dental sino también hacia el hueso que la sostiene.
Esta infección es la que provoca la aparición del pus y también la inflamación de los tejidos que forman la parte interior del diente. Esto es lo que causa el dolor de muelas que puede aliviarse ejerciendo presión sobre el diente infectado aunque la infección puede seguir extendiéndose e incluso destruir los tejidos.

Existen otros factores que pueden conducir hacia un absceso dental. Uno de ellos es una higiene bucal deficiente, principalmente descuidar los cepillados de dientes diarios y no usar hilo dental. No solamente aumenta el riesgo de caries, que puede provocar directamente un absceso dental, sino que puede conllevar otras enfermedades bucodentales.
IMPORTANTE
Por otro lado, el consumo excesivo de azúcar puede hacer que aparezcan caries que, si no se tratan de la forma adecuada, pueden acabar convirtiéndose en abscesos dentales.
La gente con un sistema inmunológico débil suele ser más propensa a desarrollar infecciones, especialmente si no tienen una higiene dental adecuada, por lo que tienen tendencia a desarrollar abscesos dentales. Aquellas personas que padezcan diabetes o que estén recibiendo tratamiento a base de quimioterapia también deben tener un especial cuidado para no tener caries que puedan convertirse en flemones.
Flemón Dental: Síntomas
El síntoma principal de un abceso dental es el dolor de muelas. Se caracteriza por ser un dolor constante, intenso y agudo. Pero además, pueden existir otros síntomas como por ejemplo:
- Sabor amargo en la boca
- Mal aliento
- Sensación general de estar enfermo, malestar, inquietud
- Fiebre
- Dolor al masticar
- Sensibilidad de los dientes tanto al calor como al frío
- Hinchazón de la encía que está sobre el diente infectado
- Inflamación de los ganglios del cuello
- Sensibilidad y sangrado de las encías
- Pérdida de color y firmeza en el diente
Además de estos síntomas, pueden aparecer otros más graves que indican que pueden estar surgiendo complicaciones. Van desde dolor de cabeza, náuseas o diarrea hasta dificultad para tragar o respirar, sensación de agotamiento general y dolor en el lado de la cara en el que se encuentra el diente infectado.

Cómo se Cura un Absceso Dental
Cuando se pone un tratamiento para un absceso dental los objetivos son eliminar la infección, conservar el diente y evitar las complicaciones que pudieran surgir.
Para determinar la forma de actuar, el dentista examinará cuidadosamente los dientes, la boca y las encías. Para saber qué diente es el que tiene la infección, puede ejercer golpear ligeramente las piezas dentales para comprobar cuál es la que provoca dolor. Además, ordenará radiografías y otras pruebas para confirmar el diagnóstico.
Un absceso dental no es una afección que pueda dejarse pasar o que se pueda tratar únicamente con remedios caseros. Es muy importante acudir al dentista en cuanto aparezcan los primeros síntomas invoices.dofollowlinks.org.

Antibióticos
La función de los antibióticos es detener la infección; sin embargo, cuando ésta se limita a la zona del absceso es probable que el dentista decida que no es necesario tomarlos.
En el caso de que la infección se haya extendido a otros dientes, a la mandíbula o a cualquier otra zona, los antibióticos serán vitales para evitar que siga diseminándose. Si el paciente tiene el sistema inmunológico débil, se deben tomar antibióticos sea cual sea el estado de la infección.
Algunos de los antibióticos más frecuentas para tratar infecciones dentales son:
- Amoxicilina. Las principales ventajas de la amoxicilina son que sirve para combatir un gran número de bacterias y que, además, el cuerpo la absorbe con facilidad. Sin embargo, no es apropiada para los pacientes que tengan alergia a la penicilina.
- Eritromicina. Es otro de los antibióticos que más suelen recetarse en caso de absceso dental. Es incompatible para pacientes con enfermedades hepáticas y, en el caso de mujeres que tomen anticonceptivos orales, es necesario advertir de que podría reducir su eficacia.
- Cefalosporina. Este antibiótico no se puede consumir en caso de enfermedad renal o hepática ni tampoco durante el embarazo.
- Metronidazol. Aunque está indicado para infecciones dentales, sus contraindicaciones en caso de enfermedad hepática o intestinal y de trastorno nervioso o de las células sanguíneas hacen que se suelan considerar antes otros antibióticos.
Tratamientos Caseros para un Absceso Dental
Aunque un absceso dental debe ser tratado siempre por un profesional, existen una serie de remedios caseros que se pueden aplicar para ayudar a que la infección, la inflamación y el dolor se hagan más leves.
- Clavo de olor. Es un clásico a la hora de tratar cualquier dolencia relacionada con los dientes. Combate las infecciones, alivia el dolor y reduce el dolor gracias a su compuesto activo eugenol. La mejor manera de usarlo es en forma de aceite esencial y hay dos modos de beneficiarse de sus propiedades: disolver en agua y hacer enjuagues o empapar un algodón en el aceite y aplicarlo directamente en el diente afectado.
- Ajo. El ajo es uno de los antibióticos naturales más conocidos y eficaces. Además, también actúa como antiinflamatorio y anestésico. Para usarlo, se debe hacer una pasta con ajo machacado, a la que se puede aplicar aceite esencial de clavo de olor, y aplicar después el resultado sobre el diente infectado. Tras dejar actuar unos veinte minutos, hay que aclararse la boca con agua fresca.
- Cúrcuma y sal. La cúrcuma es otro antibiótico natural y la sal actúa como desinfectante. La combinación de ambas ayuda a reducir tanto la inflamación como el dolor que produce un absceso. Para ello, hay que mezclar dos cucharaditas de cúrcuma con una de sal a la que se añade aceite de clavo de olor para hacer una pasta. Después se cubre con ella el diente afectado y se deja actuar durante media hora. Hay que repetirlo cada tres horas para combatir la infección.

- Té negro. Los taninos que contiene el té negro son muy útiles para reducir el dolor y la inflamación. El modo de usarlo es hacer una infusión y aplicar la bolsita de té sobre el diente infectado. Después, usar la propia infusión para hacer enjuagues.
- Vinagre de manzana. Este vinagre es antibacteriano y antiinflamatorio. Es posible sentir cierto escozor al usarlo pero no tiene importancia. La forma de usarlo es mezclarlo con agua y hacer enjuagues para eliminar las bacterias y reducir el dolor.
- Aceite de menta. El aceite de menta es antibacteriano y además alivia el dolor. Hay que mezclar cinco cucharadas con un vaso de agua y realizar enjuagues durante cinco minutos. Es muy importante no comer nada durante la hora siguiente para que no pierda eficacia. El proceso puede repetirse una vez al día.
- Agua tibia con sal. El agua con sal es muy útil para acabar con las bacterias y ayudar así a reducir la inflamación provocada por el absceso dental. Este remedio consiste en disolver una cucharada de sal en un vaso de agua tibia y hacer enjuagues durante treinta segundos. Hay que repetir hasta que se termine el vaso. Este proceso debe hacerse dos veces al día.

- Aceite de orégano. El aceite de orégano tiene dos compuestos, carvacrol y timol, que hacen que este producto se convierta en uno de los mejores antibióticos y antiinflamatorios naturales. El aceite se aplica directamente sobre el diente que tiene el absceso y tiene que mantenerse por veinte minutos para después enjuagarse la boca con agua fresca. Hay que procurar no comer nada en la hora siguiente para que haga efecto.
- Semillas de sésamo. Para obtener el beneficio antibacteriano de las semillas de sésamo, hay que ponerlas a hervir en agua. Después, se trituran hasta conseguir una pasta espesa que se aplica en el diente que tiene el absceso. Tras veinte minutos, hay que enjuagarse con el agua de la cocción . Se puede repetir una vez al día.
Complicaciones de un Absceso Dental
Si un absceso dental no es tratado de la forma correcta puede conllevar complicaciones importantes. Por ello, es importante ponerse en manos de un profesional ante las primeras molestias.
Las complicaciones que pueden surgir son:
- Pérdida del diente
- Infección de la sangre
- Propagación de la infección a los tejidos blandos. Puede llegar a provocar una necrosis, es decir la muerte de las células y, por tanto, de los propios tejidos afectados.
- Propagación de la infección al hueso de la mandíbula
- Propagación de la infección a otros órganos del cuerpo que puede provocar inflamación en el corazón, absceso cerebral y neumonía entre otras. En casos extremos, puede aparecer una septicemia, una grave infección generalizada en todo el cuerpo que podría llevar a la muerte del paciente.
¿Cómo es el Drenaje de un Absceso Dental?
Sea cual sea el caso de absceso dental, uno de los primeros pasos que hay que realizar es drenar el pus que se ha ido acumulando y que contiene toda la infección. Este proceso suele llevarse a cabo tras un mínimo de dos semanas de toma de antibióticos.
Tras anestesiar el diente y la encía que lo rodea, el dentista utiliza un taladro dental para tratar el conducto limpiando la zona infectada y eliminando la pulpa muerta que hay dentro del diente. Conforme se va realizando esto, quedan despejada y expuesta la raíz de la pieza dental.
El taladro en sí no es lo que acaba con la infección del diente sino que ayuda al odontólogo a eliminar el pus y a despejar el acceso a la raíz pudiendo llegar así al lugar en el que se ha producido la infección. Es en este momento en el que el profesional puede drenar el absceso.

Para ello, el dentista utiliza un aparato largo, estrecho y flexible, como si fuera una especie de limpiador de pipa, para eliminar los residuos de pulpa que pudieran quedar en la raíz del diente. Una vez que se han limpiado los obstáculos entre el aire y el absceso, el cúmulo de pus, sangre y bacterias que comprimen el absceso suele drenar por sí mismo.
Esta fase puede durar minutos o incluso horas dependiendo del nivel de infección que tuviera el absceso. Una vez finalizado el drenaje, el dentista sella el diente con una especie de cemento y después, lo fija con una corona que puede ser temporal o permanente.
Sin embargo, en ocasiones este drenaje no es suficiente para limpiar el absceso dental. En esos casos, el dentista emplea una aguja larga y hueca con la que perforará la encía y el tejido situado alrededor del absceso. A través de esa aguja, drena todo lo posible y después administra antibióticos hasta el momento en el que se pueda efectuar la limpieza total de los conductos que llegan a la raíz del diente.

Tips para Prevenir los Flemones Dentales
Hay varias cosas que se pueden hacer para evitar sufrir uno de estos dolorosos flemones dentales. Teniendo en cuenta que la caries es la principal causa para su aparición, todo el esfuerzo debe estar orientado a evitarla.
- Cepillarse los dientes al menos dos veces al día con pasta dentífrica que contenga flúor
- Usar hilo dental para eliminar los restos de comida que queden entre los dientes
- Reemplazar el cepillo de dientes cada tres o cuatro meses o cuando las cerdas se vean gastadas
- Limitar en lo posible el consumo de dulces y de bebidas azucaradas así como picar entre horas
- Realizar visitas regulares al dentista para revisiones y limpiezas profesionales
- Usar enjuague bucal con flúor para eliminar las bacterias de la boca y crear una capa adicional de protección contra la acción de las bacterias.
- Abandono de costumbres perjudiciales como el tabaco o el rechinar de dientes
Los abscesos dentales son una afección que puede conllevar muchos riesgos para la salud. Prevenirlos es sencillo pero en el caso de sospechar que existe una infección en un diente, hay que acudir al dentista para poder poner un tratamiento lo antes posible y evitar complicaciones graves.
Si te ha gustado este Artículo sobre los Abscesos Dentales te podemos recomendar nuestra categoría de Las Enfermedades de la Boca o la que tenemos sobre Enfermedades Dentales de la que te mostramos algunos artículos a continuación:

Sensibilidad Dental

Quitar el Dolor de Muelas

Cómo Curar el Dolor de Dientes

Dolor de la Muela del Juicio

Enfermedades de los Dientes

Qué es la Piorrea
Créditos de la imagen http://dbbeebom
Si cree que algún contenido infringe derechos de autor o propiedad intelectual, contacte en [email protected].
Copyright notice
If you believe any content infringes copyright or intellectual property rights, please contact [email protected].