Dolor De Encías 【Causas Comunes y Tratamientos】

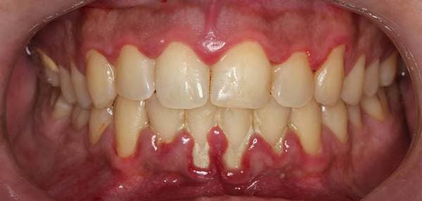
Tener dolor en las encías es una afección muy común ya que están formadas por un tejido muy delicado. Esto hace que sean sensibles a la temperatura, a las infecciones o a las inflamaciones. Los problemas que causan dolor en las encías van desde aquellos menores y que tiene una solución rápida hasta los que son señales de enfermedades más graves a las que hay que prestar la debida atención.
En este artículo desvelamos la forma de identificar la causa del dolor de encías para poder atender los problemas que lo causan y aliviarlo de la mejor manera posible.

ÍNDICE DE CONTENIDO
9 Causas Comunes del Dolor de Encías
Son varias las causas que pueden ocasionar dolor en las encías. Es muy importante identificar cuál de todas es la que está provocando el problema ya que de eso va a depender el tratamiento que se tiene que aplicar, y por tanto el alivio del dolor y la solución del problema. Algunas de las causas más comunes del dolor de encías son las siguientes:
Higiene oral deficiente
Es uno de los motivos más comunes no solamente del dolor de encías sino de la mayoría de afecciones de la cavidad bucal. Una mala higiene oral es la causa de enfermedades como las caries, los abscesos dentales y la gingivitis. Para evitar que aparezcan estos problemas y sus síntomas, entre los que se encuentra el dolor de acceso, hay que mantener ciertas rutinas de higiene diarias: cepillarse los dientes al menos dos veces al día y complementar esta limpieza con el uso de enjuagues bucales y de hilo dental. Los primeros ayudan a eliminar bacterias y a mantener limpia la boca y el segundo resulta útil para deshacerse de los restos de comida que no se hayan eliminado con el cepillado de dientes.
Sin embargo, hay que tener otras consideraciones en cuenta respecto a la higiene oral que también afecta a las encías. Es muy importante no ejercer demasiada fuerza ni presión durante el cepillado de dientes, ya sea manual o eléctrico, ya que puede afectar a las encías. De la misma manera, hay que tener cuidado a la hora de emplear el hilo dental pues es frecuente que se dañen las encías con roces accidentales.

Aparatos y prótesis dentales
Cualquier tipo de aparato o prótesis dental como las ortodoncias o las dentaduras postizas pueden provocar molestias y dolor en las encías por varios motivos. Uno de ellos es que no estén debidamente colocadas y por ello causen roces que original el dolor. Por esta razón, es muy importante que el proceso de colocar cualquier prótesis dental se haga con mucho cuidado y por un profesional que tenga experiencia en este campo.
Pero además, los aparatos dentales facilitan la acumulación de restos de alimentos que a su vez, causan la proliferación de microorganismos y bacterias que provocan infecciones dolorosas.

Cambios en las hormonas
Este causa afecta a las mujeres ya que son susceptibles de sufrir varios cambios hormonales a lo largo de su vida, especialmente en tres momentos: la pubertad, el embarazo y la menopausia, todos ellos relacionados con la menstruación.
Durante la pubertad y el embarazo fluye una mayor cantidad de sangre hacia las encías, lo que provoca que éstas se hinchen, estén más sensibles y duelan. En la menopausia, al disminuir los niveles hormonales por la ausencia de la menstruación y todo lo que conlleva, las encías no solo pueden doler sino también sangrar y cambiar de color.

Candidiasis oral
Esta infección bacteriana es conocida también con el nombre coloquial de «sapito». Además del dolor de encías, aparece una capa blanquecina en la lengua y en otras zonas del interior de la cavidad bucal. La bacteria que la provoca es la Candida albicans y suele afectar más a los bebés debido a que tienen un sistema inmunológico más débil que favorece la proliferación de esta bacteria.
El tratamiento para esta enfermedad consiste en la aplicación de una crema antibacteriana que se aplica en la zona afectada; aunque es muy escandalosa por el dolor y la capa blanquecina, en realidad no se trata de una enfermedad grave.

Aftas bucales
Cuando hablamos de aftas bucales nos referimos a pequeñas lesiones dolorosas que suelen aparecer tanto en los labios como en la lengua y que pueden afectar también a las encías. Su aparición se puede deber a varias causas como, por ejemplo, heridas en la boca, deficiencia de algunas vitaminas, alimentos demasiado ácidos o picantes, alteraciones hormonales, exceso de estrés o enfermedades de tipo autoinmune.
Las aftas se suelen tratar con geles o enjuagues antisépticos y cicatrizantes y no suelen tardar más de una o dos semanas en desaparecer. En caso de que no sea así, es necesario acudir a la consulta del médico para que descarte la existencia de enfermedades más graves.

Gingivitis
La gingivitis se produce cuando las encías se inflaman debido a la acumulación de restos de alimentos en la línea en la que la encía se une con el diente. La primera causa de esta acumulación es la falta de higiene de la cavidad bucal pero también hay otros factores como el tabaquismo, la presencia de dientes partidos o astillados, cáncer, estrés, alcohol, cambios hormonales, consumo excesivo de azúcar, respiración bucal, mala alimentación, sequedad de boca, diabetes o determinados medicamentos igralkin.es.
Es muy importante tratar de forma inmediata la gingivitis puesto que, de no ser así, ésta puede derivar en una periodontitis. Hay que acudir al médico cuando se presenten los primeros síntomas como el dolor, enrojecimiento a inflamación de las encías, mal sabor de boca, manchas blancas en las encías o presencia de pus en la línea que une los dientes con las encías.

Absceso
Los abscesos periodontales son infecciones que se producen en la raíz del diente y que causan la aparición de una bolsa de tejido inflamado con pus que causa un dolor muy intenso y la inflamación de las encías. Cuando aparece un absceso hay que acudir de inmediato a la consulta del odontólogo para que extraiga ese tejido infectado ya que podría transmitirse a la sangre y afectar a otros órganos del cuerpo.
Además de la inflamación y del dolor de encías, puede aparecer también sensibilidad tanto al frío como al calor.

Muelas del juicio
El momento en el que salen las muelas del juicio puede causar también dolor en las encías aparte de las molestias características. Suele suceder entre los 17 y los 21 años aunque siempre hay excepciones. Si el dolor de encías en esta situación no es excesivo, no hay ningún problema y no es necesario acudir al médico.
El dolor de encías en las muelas del juicio se produce porque las encías no están pegadas al diente y, por lo tanto, se acumulan restos de comida y bacterias en ese hueco que son muy difíciles de limpiar y pueden provocar inflamación. Esto, llamado pericoronaritis, se trata mediante una limpieza profesional de la zona que ha de repetirse hasta que la muela del juicio haya salido por completo y se tape ese hueco entre encías y diente.

Cáncer oral
El cáncer de boca puede tener su origen en diversas partes de la misma como el interior de las mejillas, las amígdalas, la lengua o las encías. Su aspecto inicial es el de una afta, de las que hemos hablado más arriba, que no acaba de curarse. Por ello es importante acudir al médico cuando esto ocurre.
El dolor de encías se produce porque cuando se padece cáncer oral existe más riesgo de contraer infecciones bucales que tengan como consecuencia esta dolencia. Además, las encías también pueden inflamarse o incluso sangrar; por ello se recomienda acudir al médico cuando el dolor de encías viene acompañado de otros síntomas más alarmantes.
Otras Causas del Dolor en las Encías
Además de las causas enumeradas antes, existen otras menos habituales pero que también pueden ser el motivo del dolor de las encías. Algunas de ellas son:
- Tras una profilaxis. En el proceso de una limpieza profesional llevada a cabo por un odontólogo en la que tiene que raspar la placa bacteriana en la zona cercana a las encías es normal que éstas sufran una leve inflamación y duelan.
- Después de un blanqueamiento dental. Cuando se realiza un tratamiento de blanqueamiento de dientes, se emplean productos que en ocasiones pueden provocar cierta sensibilidad dental y también en las encías. Esta sensibilidad de manifiesta en forma de molestia o dolor en las encías y en los dientes al consumir alimentos muy fríos o calientes. Una vez que desaparece este producto, desaparecen tanto el dolor como las molestias.

- Otros cambios hormonales. Aunque ya se han mencionado los tres momentos en los que las mujeres pueden sufrir dolor de encías debido a los cambios hormonales, existen otros como los instantes después del parto o los días inmediatamente anteriores a la menstruación.
- Tras la colocación de un implante. El proceso quirúrgico para colocar un implante suele resultar bastante invasivo por lo que es normal sentir dolor en las encías cercanas al implante en los días posteriores a la operación.
- Después de la extracción del diente. Cuando se ha llevado cabo la extracción de un diente, es perfectamente normal sentir dolor en las encías que están alrededor debido a la inflamación que se haya producido. Remite a los pocos días.
- Tras una endodoncia. En este caso ocurre igual que en los anteriores ya que al manipular un diente durante el proceso, es normal que las encías cercanas se inflamen y causen dolor.

- Encías retraídas. Hay varios motivos por los que las encías se retraen como, por ejemplo, una enfermedad periodontal o por un cepillado de dientes demasiado enérgico. Cuando esto ocurre, las encías retroceden y dejan al descubierto la raíz del diente provocando un dolor muy intenso cuando entra en contacto con estímulos externos.
- Diabetes. En los últimos tiempos se han hecho estudios que vinculan la presencia de diabetes en el organismo con el desarrollo de enfermedades periodontales. La explicación deriva del hecho de que las personas que tienen una diabetes de tipo 2 tienen ciertas alteraciones en los vasos sanguíneos que hace que las encías no tengan una circulación de la sangre adecuada. Esto provoca inflamación y dolor.
- Anemia. Las personas que padecen anemia tienen una importante falta de vitaminas lo cual afecta también a la cavidad bucal favoreciendo que aparezcan afecciones y enfermedades que causan dolor.
- Bruxismo. Esta enfermedad consiste en apretar y rechinar los dientes de forma involuntaria. Esta fricción constante causa dolor tanto en los propios dientes como en las encías.

- Dientes de los bebés. A partir de los seis u ocho meses de edad, los bebés comienzan a sentir inflamación y dolor en las encías debido al proceso de dentición. No hay que preocuparse demasiado ya que es algo normal en el desarrollo de los niños.
- Uso de prótesis. Cuando se usan prótesis dental y no se mantiene una higiene adecuada, es muy probable que la acumulación de restos de alimento causen una inflamación de las encías debido al sarro.
- Toma de algunos medicamentos. En ocasiones, al iniciar un tratamiento se produce inflamación y dolor en las encías. Si esto sucede, es necesario acudir al médico para comprobar cuál es el medicamento que tiene estos efectos para poder sustituirlo por otro.
- Uso de ortodoncias. Las ortodoncias como, por ejemplo, los brackets, hacen que la limpieza dental sea un poco más difícil de lo habitual. Por eso, existen más posibilidades de que se acumulen los restos de comida y se produzca una gingivitis por acumulación de sarro.
- Tabaquismo. Fumar aumenta la presencia de bacterias dentro de la boca y, por tanto, la acumulación de la misma y la presencia de sarro, favoreciendo las enfermedades periodontales.
- Dientes mal alineados. Unos dientes mal colocados favorecen que el sarro se acumule alrededor de las piezas dentales. Si no se tiene un control de esta situación, puede derivar en una gingivitis.
Remedios para Aliviar el Dolor de Encías
Hay que acudir al odontólogo cuando el dolor de encías sea demasiado persistente o si aparece acompañado de otros síntomas como sangrado, enrojecimiento, pérdida de dientes o sensibilidad al frío y al calor. En ese caso, el profesional debe evaluar la situación, comprobar cuál es la causa y llevar a cabo el tratamiento adecuado.
Algunas de las primeras medidas que se deben tomar es adquirir un cepillo de dientes con cerdas suaves, usar enjuagues bucales con propiedades antisépticas, cicatrizantes y antiinflamatorias, evitar comer alimentos demasiado ácidos, picantes o salados y usar gel con benzocaína para anestesiar las encías y aliviar el dolor.
Si el dolor es demasiado intenso se puede recurrir a medicamentos de libre disposición como, por ejemplo, el paracetamol, aunque es recomendable que sea siempre bajo la supervisión del odontólogo.
Remedios Caseros
Además, existen numerosos remedios caseros para el dolor de encías con productos que están prácticamente en todos los hogares y que son fáciles de preparar.
Algunos de estos remedios caseros son:
- Enjuague bucal con salvia. La salvia es antiséptica, antiinflamatoria y cicatrizante así que es una planta muy adecuada para tragar la inflamación y el dolor de encías. Para preparar este enjuague, hay que hervir la salvia seca en agua, dejar reposar, colar, añadir sal marina y dejar enfriar. Hay que utilizarlo después de lavarse los dientes pero solamente durante dos días como máximo.

- Agua tibia con sal. Es una de las soluciones más sencillas ya que se trata simplemente de disolver una cucharada de sal en un vaso de agua tibia y enjuagarse con el resultado de dos a tres veces al día.
- Aceite de clavo de olor. El clavo de olor es una de las especias más útiles a la hora de calmar dolencias relacionadas con la cavidad bucal ya que es un gran analgésico. Lo más habitual es utilizarlo en forma de aceite y frotarlo directamente contra la encía para notar el efecto aunque hay quien muele directamente el clavo y lo aplica en la zona dolorida. Otra opción es disolver cuatro o cinco gotas de este aceite en un vaso de agua y realizar enjuagues bucales.
- Cebolla. Tiene propiedades antibacterianas y antisépticas por lo que ayuda a rechazar y eliminar infecciones reduciendo al menos el dolor. Se puede usar de varias maneras. La más sencilla es tomar un trozo de cebolla fresca y masticarla durante algunos minutos dejando que haga efecto. También se puede extraer el jugo de la cebolla y aplicarlo directamente sobre la encía dolorida con un trozo de algodón. Estas dos formas de emplear la cebolla pueden repetirse varias veces al día.

- Extracto de vainilla. La vainilla no solamente tiene propiedades calmantes que alivian el dolor sino que también ahuyenta a las bacterias y además, deja un buen olor en la boca. Para usarlo se tiene que sumergir un algodón en el extracto y aplicarlo a las encías. Puede usarse hasta cuatro veces al día sin problemas.
- Cubitos de hielo. El hielo tiene el efecto de adormecer las terminaciones nerviosas haciendo así que el dolor desaparezca. Además, ayuda a mejorar la circulación de la sangre mejorando el estado general de las encías. Para usarlos, hay que envolver los cubitos de hielo en un paño frío y presionarlo sobre la zona dolorida durante unos tres minutos. Se puede repetir dos veces al día. Nunca hay que aplicar el cubito de hielo directamente sobre la piel ya que ésta se podría quemar y además, el hielo se puede quedar pegado causando pequeñas lesiones.
- Limón. Tiene varios beneficios como, por ejemplo, sus compuestos antibióticos que combaten las infecciones, la barrera protectora contra las bacterias, el alivio del dolor y el aroma que elimina el mal aliento. El zumo de limón disuelto en agua se puede utilizar para hacer enjuagues bucales tres veces al día.
- Arándanos. El zumo natural de arándanos tiene propiedades desinfectantes y antioxidantes. Además, equilibra el PH de la saliva, frena a las bacterias y alivia el dolor. Para conseguir estos efectos, hay que beber dos vasos de zumo de arándanos al día.

- Manzana. Es sabido que la manzana es una de las frutas con más propiedades que hay y entre ellas se encuentra la de poder aliviar el dolor de encías y la de rebajar la inflamación. Para ello, después de cada comida hay que masticar un trozo de manzana (no morderla, pues provocará aún más molestias en las encías). En el caso de que el dolor de encías se deba a una gingivitis, hay que realizar este proceso cuatro o cinco veces al día.
- Agua oxigenada. Disolviendo agua oxigenada en un vaso de agua se puede hacer fácilmente un enjuague bucal muy eficaz para combatir el dolor en las encías y las posibles infecciones que pudieran surgir. Hay que hacer estos enjuagues dos o tres veces al día, a ser posible después del cepillado de dientes.
- Ajo. Quizá no sea precisamente el remedio más agradable de todos los que se pueden emplear para combatir el dolor de encías pero, desde luego, es uno de los más eficaces. Simplemente masticar el ajo ya es suficiente para empezar a sentir el efecto. Otra opción es frotar el diente de ajo contra la encía.
- Té negro. El ácido tánico que contiene este tipo de té tiene propiedades analgésicas y desinflamatorias así que es un remedio muy adecuado para tratar el dolor de encías. Su uso es muy sencillo. Simplemente hay que preparar el té de la forma habitual para consumir y emplear la bolsita con las hierbas para aplicarla sobre la encía dolorida. Se puede repetir varias veces al día.

- Bicarbonato de sodio. El bicarbonato es especialmente útil para eliminar infecciones que estén provocando el dolor en las encías. Para usarlo hay que disolver una cucharada de bicarbonato en un vaso de agua y usar el resultado para hacer enjuagues dos veces al día. No hay que abusar de este producto ya que el bicarbonato puede afectar al esmalte de los dientes.
- Vinagre de sidra de manzana. Este vinagre tiene compuestos naturales que ayudan a equilibrar el PH de la boca evitando que las bacterias proliferen y causen infecciones. Hay que mezclar una cucharada de vinagre en medio vaso de agua tibia y hacer enjuagues con el resultado después de cada comida. Se debe hacer dos veces al día para poder notar los efectos.
- Pimienta de cayena. Este producto estimula la circulación de la sangre en las encías por lo que ayuda a que éstas estén más sanas y activas y decrezcan las posibilidades de que proliferen las bacterias que causan infecciones. Su alto contenido en capsaicina hace que, además, reduzca el dolor de encías. Se puede emplear de varias maneras. Una de ellas es poniendo algunas gotas de aceite esencial de pimienta de cayena en un cepillo de cerdas suaves para después cepillar suavemente las encías con movimientos circulares. Una vez hecho esto, hay que enjuagarse la boca con agua que haya sido hervida previamente. Se debe hacer una vez al día.
- Aceite de coco. El aceite de coco destruye bacterias, limpia el interior de la boca y cura las encías inflamadas y doloridas. La mejor forma para beneficiarse de estas propiedades es enjuagarse la boca directamente con el aceite de coco durante veinte o treinta minutos, preferiblemente por la mañana antes de desayunar. Tras escupir el aceite, hay que enjuagarse la boca con agua que se haya hervido.

- Pasta de cúrcuma. Esta especia es muy beneficiosa para todas las dolencias relacionadas con las encías y los dientes en general gracias a la acción de la curcumina. Para ello, hay que hacer una pasta con media cucharada de cúrcuma y un poco de agua. Esta pasta se tiene que aplicar en la encía con el dedo limpio o usando un bastoncillo de algodón y hay que dejar que haga efecto durante cinco minutos. Después, masajear la zona con el dedo durante un minuto con movimientos circulares y enjuagar la boca.
- Aloe vera. Por supuesto, no podemos dejar de hablar del aloe vera, una planta carnosa cuyo gel tiene beneficios para la piel y también para cualquier dolencia relacionada con la cavidad bucodental. No solo es analgésico e antiinflamatorio sino que además ayuda a regenerar las células de la piel. El gel que hay en el interior de sus hojas se tiene que aplicar directamente en las encías teniendo siempre la boca limpia. Se puede repetir varias veces al día ya que no tiene efectos secundarios.
Hay varios motivos por los que puede aparecer el molesto dolor de encías. Es muy importante determinar cuál es la causa de esta dolencia no solamente para saber la forma adecuada de tratarla sino también para confirmar que no se trata de una enfermedad grave que pueda causar problemas importantes. Con el uso de remedios caseros, el dolor de encías puede desaparecer en unos días. En caso de no ser así y de que aparezcan otros síntomas, es imperativo acudir a la consulta del médico para que realice un examen de las encías y elabore un diagnóstico.
Si te ha gustado este artículo sobre el Dolor de Encías, te recomiendo que leas la categoría sobre las Enfermedades de la Boca más comunes, o específicamente la categoría de las enfermedades de las encías de la que te dejamos algunos artículos a continuación:

Encías Moradas

Llagas en la Encía

Encías Negras

Encías Sanas

Sarro en las Encías

Enfermedades de las Encías
Créditos de la imagen http://dbbeebom
Si cree que algún contenido infringe derechos de autor o propiedad intelectual, contacte en [email protected].
Copyright notice
If you believe any content infringes copyright or intellectual property rights, please contact [email protected].