Encías Retraídas 【 Causas, Tratamientos y Cómo Evitarlo 】

Las encías retraídas son, además de un problema relacionado con la estética, un inconveniente relacionado con la salud bucodental al que hay que prestar la debida atención.
La encía es el tejido que cubre la base del diente y que lo mantiene unido al hueso, además de proteger la raíz. La primera parte de la encía es poco profunda y envuelve el diente mientras que la segunda parte está adherida a todo el hueso.

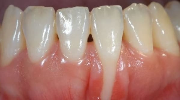
Esta afección consiste en que la piel de las encías se retrae dejando al descubierto la raíz del diente con los perjuicios que ello conlleva, en especial el aumento de la sensibilidad dental. Suele ser más habitual en personas de más de 40 años.
ÍNDICE DE CONTENIDO
1
¿Cómo Saber si Tengo la Encía Retraída?
2
Causas de la Encía Retraída
3
Tratamiento para las Encías Retraídas
4
Cómo Cepillarme Correctamente para Evitar Retraer la Encía
¿Cómo Saber si Tengo la Encía Retraída?
Existen algunos síntomas que advierten acerca de la existencia de una encía retraída. Dado que no existen remedios caseros a los que recurrir para este problema, es necesario acudir al dentista en el momento en que aparezcan algunos de estos síntomas.
Sin embargo, hay que tener en cuenta que en el momento en el que estos síntomas aparecen quiere decir que el problema ya está bastante avanzado y que ha pasado inadvertido.
- Aparición de hipersensibilidad al consumir alimentos demasiado fríos o demasiado clientes.
- Aparición de caries en las raíces de los dientes ya que ésta no tiene esmalte que la proteja como los dientes.
- Progresiva pérdida de la encía y del hueso en el que se encaja el diente al quedar dañados los tejidos
- Sensación óptica de tener los dientes más largos o las encías con menos volumen
- Pérdida del diente, aunque esto ocurre en las fases más avanzadas
- Cambio de color en la base de los dientes
- Muescas o socavones en el tejido de la base de los dientes
- Encías enrojecidas, inflamadas o demasiado sensibles
- Percepción de que hay más espacio entre los dientes
- Sangrado de las encías
- Movilidad de la raíz

Causas de la Encía Retraída
La encía retraída se debe a causas que, por lo general, suelen obedecer principalmente a dos factores: a una enfermedad periodontal o a malos hábitos que han provocado que la encía se retraiga.
- Gingivitis. Esta enfermedad provoca la inflamación de las encías alrededor de los dientes y por lo general aparece debido a la acumulación de restos de comida que acaban formando placa dental. Si no se mantiene una correcta higiene bucodental, cada vez será más difícil eliminar estos restos de comida por lo que las bacterias se acumularán y las encías se van debilitando, llegando a sangrar y retirándose hacia atrás. Es un problema más frecuente de lo que se cree y, de hecho, se estima que incluso un 90% de la población sufre esta afección en mayor o menor medida.
- Periodontitis. En realidad, la periodontitis es un estado más avanzado de una gingivitis que no ha sido tratada correctamente. También se la conoce con el nombre de piorrea. En esta enfermedad, la placa bacteriana comienza a desarrollarse entre el diente y la encía formando bolsas que van penetrando poco a poco hacia la raíz del diente. El tejido y el hueso que rodea el diente se ha deteriorando, lo que incluye también a las encías que, en estados muy avanzados de la periodontitis, ni siquiera serán capaces de sostener el diente.

- Modo de cepillado. Es muy importante mantener una buena higiene dental pero además, ésta debe hacerse del modo correcto. De nada sirve que se cepillen los dientes tres veces al día si se hace de una manera que acaba perjudicando más que beneficiando. Cepillarse los dientes de forma agresiva o burda, o utilizar un cepillo con cerdas demasiado burdas es muy perjudicial para las encías y puede acabar destruyéndolas poco a poco. En caso de duda, lo mejor es consultar al dentista cuál es el cepillo de dientes más adecuado.
- Tabaco. Fumar hace que la boca se llene de miles de bacterias muy perjudiciales para la salud. Muchas de las sustancias que contiene el humo del tabaco bloquean la circulación de la sangre, lo que afecta al sistema inmune. Esto provoca que las bacterias puedan actuar fácilmente en la boca llegando a causar enfermedades periodontales que afectan a las encías.
- Traumatismos: Un golpe en la boca que conlleve el desgarro o ruptura de un trozo de encía puede hacer que ésta se retraiga dejando la raíz del diente al descubierto. Si esto ocurre, es necesario acudir al dentista para que realice un injerto de piel en la encía no solamente por motivos estéticos sino porque a la larga, puede acarrear problemas graves de salud.
- Ortodoncia mal colocada. Una ortodoncia que se haya puesto de manera incorrecta haciendo que los dientes se desplacen fuera de la tabla ósea puede provocar fácilmente que las encías se retraigan.
- Estrés. Se ha demostrado que los niveles de estrés pueden estar directamente relacionados con el desarrollo de las enfermedades periodontales.

- Factores genéticos. Algunos estudios han concluido que hay personas propensas a sufrir encías retraídas a pesar de llevar una perfecta higiene dental mientras que otras que no se cuidan tanto jamás tienen este problema.
- Rechinar de dientes o bruxismo. El bruxismo afecta en buena parte al esmalte de los dientes desgastándolos así que, a la hora de cepillar los dientes, es probable que se vean afectadas también las encías.
- Piercings orales. A pesar de que estén muy de moda, este tipo de perforaciones favorecen la aparición de bacterias que se acumulan en la boca y pueden llegar a dañar las encías de un modo muy significativo a través de infecciones.
- Bulimia. El constante hábito de vomitar provoca que los ácidos estomacales erosionen rápidamente los dientes y las encías.
- Cambios hormonales. Afecta especialmente a las mujeres que durante la pubertad, el embarazo o la menopausia pueden notar que sus encías se han retraído.
Tratamiento para las Encías Retraídas
Actualmente existen dos posibles tratamientos para solucionar el problema de las encías retraídas aunque el primer paso que hay que llevar a cabo es eliminar el problema que ha causado esta afección. Por lo general, se suele eliminar las bacterias y el sarro acumulado mediante instrumentos manuales como las curetas o instrumentos de ultrasonido en el caso de que esté muy arraigado.
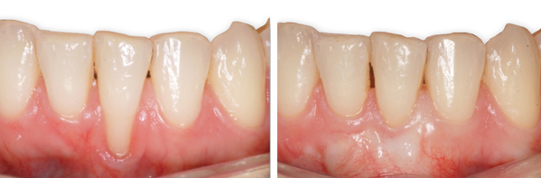
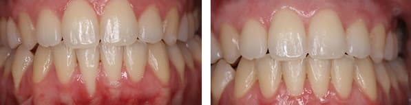
El primer tratamiento es el estiramiento de encías, también conocido con el nombre de colgajo movilizado coronalmente. Se usa en pacientes que conserven todavía las papilas interdentarias. Como indica su nombre, esta solución consiste en estirar la encía para volver a recubrir la raíz del diente y que vuelva a recuperar su aspecto original.

El segundo tratamiento consiste en realizar un injerto de piel a la encía, normalmente tomado del tejido del paladar, para hacer una reconstrucción y cubrir la raíz del diente. Se trata de una microcirugía poco invasiva y, por lo tanto, de un tratamiento rápido que apenas afectará a la vida diaria. Además, al injertar un tejido más resistente, se evita que la encía vuelva a retraerse.
Por desgracia, el tejido de las encías no se regenera por sí solo y tampoco existe ningún remedio casero que ayude a arreglar una encía retraída así que una vez que se padece, tan solo queda optar a uno de los tratamientos explicados anteriormente.
Cómo Cepillarme Correctamente para Evitar Retraer la Encía
Un cepillado de dientes demasiado agresivo puede ocasionar diversos problemas en la boca: desgaste del esmalte natural de los dientes, daños en las encías -entre ellos la retracción- y descubrimiento de la raíz dental. Una de las consecuencias de que la raíz quede al aire es que aumenta significativamente la sensibilidad dental con todas las molestias que esto ocasiona. Además, la propia raíz queda expuesta a las caries.
El cepillado no debe hacerse de forma demasiado enérgica ni con fuerza sino con suavidad. De hecho, en ocasiones se recomiendan los cepillos eléctricos por encima de los manuales precisamente porque evitan que se aplique demasiada agresividad en el cepillado aunque en realidad, ambos son igual de válidos.
IMPORTANTE
Los cepillos de dientes deben sustituirse cada tres meses o antes si está muy desgastado
Tampoco se debe exceder el tiempo del cepillado ni hacerlo con demasiada frecuencia más que la recomendada. Los especialistas advierten que hay que lavarse tres veces al día (después de cada comida) y el tiempo de cepillado no debe superar los dos minutos.
No hay que cepillarse los dientes en sentido horizontal ni usar un cepillo con las cerdas demasiado duras. No hay que abusar de la cantidad de dentífrico que se usa ya que un exceso de espuma no beneficia la limpieza de los dientes.

Se recomienda comenzar por la cara exterior de los dientes realizando movimientos circulares muy suaves sobre los mismos y alcanzando también las encías, siempre sin hacer presión. Después, esta acción se repite con la cara interior de los dientes usando el extremo del cepillo en los incisivos y delanteros para llegar a todo el diente.
Por último, el cepillado de dientes se puede complementar con el uso de hilo dental para extraer los posibles restos de comida que no hayan salido con el cepillo y el enjuague bucal para eliminar las bacterias.
Si te ha gustado este artículo sobre Las Encías Retraídas, puedes leer más relacionados en nuestra categoría de Enfermedades Bucales o específicamente en la de Enfermedades de las encías, algunos artículos relacionados son:

Encías Blancas

Enfermedad Periodontal

Encías Sanas

Encías Inflamadas

Dolor de Encías

Llagas en la Encía
Créditos de la imagen http://dbbeebom
Si cree que algún contenido infringe derechos de autor o propiedad intelectual, contacte en [email protected].
Copyright notice
If you believe any content infringes copyright or intellectual property rights, please contact [email protected].
