TOP 10 > Enfermedades de Los Dientes 【 octubre 2025 】

Es de sobras conocida la importancia de una sonrisa fresca y bonita en la que luzcan unos dientes sanos y blancos. Sin embargo, hay mucha gente que padece enfermedades de los dientes que provocan que no se pueda presumir de la dentadura perfecta con la que sueña todo el mundo.
En este artículo os hablamos de las diez enfermedades de los dientes más comunes para aprender a diferenciarlas, conocer sus causas y saber qué se puede hacer para tener una salud dental impecable. Lo principal para conseguir este objetivo es acudir de forma periódica al dentista para evitar el desarrollo de cualquiera de estas enfermedades.

ÍNDICE DE CONTENIDO
1
Caries
2
Gingivitis
3
Periodontitis
4
Bruxismo
5
Sensibilidad dental
6
Maloclusión
7
Fluorosis
8
Pulpitis
9
Halitosis
10
Edentulismo
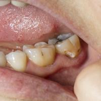
Caries
Las caries consisten en perforaciones o daños estructurales en los dientes. Es una enfermedad muy común que aunque suele afectar en mayor parte a los niños y a los adultos jóvenes, en realidad puede aparecer en personas de cualquier edad. Es una de las principales causas de la pérdida de dientes.
El origen de las caries se encuentra en las bacterias que permanecen en la boca y que convierten los restos de comida en ácidos, especialmente los azúcares y los almidones. La unión de las bacterias con los restos de comida, el ácido y la saliva acaba formando una sustancia pastosa llamada placa que se pega a los dientes, en especial en los molares posteriores. Suele quedarse en la línea de la encía y en los bordes de los rellenos.
Si la placa no se elimina de los dientes acaba convirtiéndose en sarro. Los ácidos que contienen causan perforaciones en los dientes, las caries, que no suelen provocar dolor a menos que sean muy profundas y lleguen al nervio dental o causan la rotura del diente. Si no se trata, la caries causará una infección que a su vez provocará un abceso dental. Si el interior del diente, la pulpa, llega a desaparecer, será necesaria la extracción del diente.
Gingivitis
La gingivitis consiste en la inflamación de las encías y supone la primera fase antes de llegar a una periodontitis. Está causa por los efectos a corto plazo que la placa tiene sobre los dientes y las encías. Esta placa es una sustancia de textura pegajosa que está formada por bacterias, restos de comida, ácidos y saliva.
Cuando la placa no se elimina, acaba endureciéndose y convirtiéndose en sarro que provoca la irritación e inflamación de las encías debido a la acción de las bacterias y las toxinas. Algunos de los síntomas de la gingivitis son sangrado de encías, úlceras bucales y encías brillantes, enrojecidas, sensibles e inflamadas.
El tratamiento para la gingivitis consiste en realizar una limpieza profesional en la consulta del odontólogo que debe complementarse con una adecuada higiene dental que incluya no solamente el cepillado de dientes sino también el uso de hilo dental y enjuagues bucales.
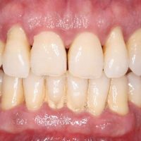
Periodontitis
La periodontitis es una enfermedad que consiste en la irritación e inflamación de los huesos y ligamentos que sirven de soporte a los dientes. Es una consecuencia directa de una gingivitis que no ha sido tratada correctamente. La inflamación en las encías que provoca la gingivitis se extiende hacia los huesos y ligamentos. Como resultado, los dientes comienzan a aflojarse llegando a caer. Es una de las razones más frecuentes de pérdida de dientes en adultos.
Los síntomas de la periodontitis afectan a las encías, que aparecen enrojecidas, inflamadas y brillantes y a los dientes, que flojean y presentan depósitos endurecidos de color marrón, verdoso o amarillento. Además, también aparece halitosis como resultado de la infección y sensibilidad dental.
El tratamiento de la periodontitis consiste en una limpieza profesional de los dientes y, en muchos casos, es necesario recurrir a la cirugía para abrir y limpiar las encías, colocar un soporte a los dientes flojos y extraer los dientes que pudieran causar problemas en las piezas adyacentes.
Bruxismo
El bruxismo se produce cuando una persona hace rechinar sus dientes, es decir, que los desliza o los frota de atrás hacia adelante uno contra otro. Esta acción puede hacerse también de forma inconsciente tanto de día como de noche, mientras la persona duerme. El bruxismo que se produce durante las horas de sueño resulta un gran problema ya que, lógicamente, es más difícil de solucionar.
Aunque no se conocen con exactitud cuáles pueden ser las causas del bruxismo, se cree que el estrés diario puede ser una de ellas. Además, también pueden unirse factores como tener los dientes desalineados, la dieta, los hábitos a la hora de dormir, la postura o la capacidad de relajarse.
El bruxismo puede llegar a afectar a la estructura de la mandíbula incluyendo músculos y tejidos además de desgastar los dientes. En ocasiones, el rechinamiento es tan fuerte que puede ocasionar molestias a los compañeros de cuarto. Los síntomas del bruxismo son el dolor de oído y de cabeza debido a la presión de las mandíbulas, sensibilidad en los dientes, insomnio y dolor e inflamación de la mandíbula.
Sensibilidad dental
También es conocida como hipersensibilidad dentinaria y se caracteriza por un dolor dental transitorio y muy intenso provocado al quedar expuesta la dentina, la parte interna del diente. El dolor aparece cuando la dentina entra en contacto con estímulos externos como alimentos y bebidas fríos, calientes, dulces o ácidos. También reacciona ante el tacto.
Es una de las causas más frecuentes del dolor dental y si no se trata de la forma adecuada, puede llevar a otras enfermedades como caries, gingivitis o periodontitis. Suele aparecer en personas adultas aunque en los últimos tiempos es frecuente en jóvenes debido al consumo de bebidas acidogénicas.
El tratamiento consiste en productos que eviten la sensación de dolor de los dientes y que al mismo tiempo ayuden a que éste no se repita. Además, hay que complementar con una buena higiene dental, una dieta sin ácidos y la eliminación de hábitos como el bruxismo o el uso excesivo de los palillos de madera, que pueden sustituirse por el hilo dental.
Maloclusión
Esta enfermedad se caracteriza por la alteración en el crecimiento del hueso de la mandíbula o de la posición de los dientes que impide que la masticación se lleve a cabo de forma correcta además de conllevar una deformación estética.
Hay varios factores que pueden conducir a la maloclusión. Uno de ellos es la herencia genética; de hecho se ha observado como las mismas alteraciones aparecen en varios miembros de una familia. El uso prolongado del chupete y el hábito de chuparse el dedo en los niños pequeños también pueden provocar una alteración en el desarrollo de los dientes. Por último, la pérdida prematura de los dientes o la ausencia de los mismos debido a una agenesia pueden hacer que aparezca la maloclusión la-quiniela.es.
El tratamiento de la maloclusión implica el uso de ortodoncias que corrijan la posición de los dientes de forma progresiva aunque en los casos más graves, puede ser necesario recurrir directamente a la cirugía.
Fluorosis
La fluorosis está directamente relacionada con una anomalía que se produce en el esmalte de los dientes como resultado de una exposición excesiva al flúor durante el periodo de formación de las piezas dentales. Se manifiesta en forma de manchas y puntos en los dientes pero no son consecuencia de la falta de higiene dental.
El flúor, como se sabe, es una sustancia muy adecuada para los dientes pero en exceso, aumenta la porosidad del esmalte de los mismos haciendo que se vuelvan más frágiles. Se identifica porque aparecen manchas opacas de color blanco en la superficie de los dientes que, en ocasiones, se acompañan de grietas y estrías.
El origen de esta enfermedad se encuentra en la época de desarrollo de los dientes por lo que los dentistas aconsejan que los niños no se cepillen los dientes con pasta dentífrica con flúor sino con pasta dental adecuada para ellos.
El tratamiento consiste en un blanqueamiento dental profesional aunque es una solución parcial ya que al cabo del tiempo, las manchas pueden volver a aparecer. La mejor solución es usar carillas dentales o coronas que oculten el aspecto de los dientes.
Pulpitis
La pulpitis consiste en la inflamación de la pulpa del diente, esto es, el tejido blando que contiene los vasos sanguíneos y el nervio. Las causas para que se produzca esta enfermedad pueden ser las caries, una infección, la fractura de la raíz del diente o de una corona y el efecto de algunos materiales que se utilizan en los tratamientos dentales como pueden ser algunas resinas o cementos.
Su síntoma principal es un dolor muy localizado que empeora al tacto. La pulpitis debe ser tratada cuanto antes ya que, de otro modo, podría convertirse en algo crónico provocando que no puedan recuperarse esos tejidos blandos dañados. Si esto llega a ocurrir, se debe proceder a la extracción de la pulpa mediante una endodoncia.
Halitosis
La halitosis, es decir, el mal aliento, es una enfermedad que tiene mucho que ver con los dientes ya que en la mayor parte de los casos su origen está en las bacterias que se desarrollan gracias a los restos de comida que se quedan incrustados en las piezas dentales, especialmente en la línea de las encías.
Cuando es éste el motivo de la halitosis, la solución pasa por recuperar una higiene dental adecuada que incluya no solamente el cepillado de dientes sino también el uso de hilo dental para extraer los restos de comida que no se han ido con el cepillado y de enjuagues bucales que acaben con las bacterias que hay dentro de la boca.
Edentulismo
El edentulismo consiste en la pérdida parcial o total de los dientes. Aunque es un problema que se asocia a personas de edad avanzada, lo cierto es que existen múltiples causas que pueden provocarlo y que pueden aparecer en personas de cualquier edad. Algunas de estas causas son traumatismos, enfermedades periodontales, caries o escasez de higiene dental.
Además de provocar también problemas estéticos que afectan a la autoestima de la persona, también causa problemas en la estructura de la boca ya que los dientes restantes suelen desplazarse para ocupar el espacio de los que se han caído. Esto afecta a la capacidad masticatoria y también al habla. Por ello, cuando se padece edentulismo es necesario acudir al odontólogo para reemplazar las piezas perdidas.
Si el edentulismo no se trata adecuadamente, podría llegar a producirse el Síndrome de Kelly mediante el cual toda la estructura ósea de la boca se transforma de modo que el labio superior se hunde y la mandíbula se proyecta hacia el exterior, alterando así todo el aspecto de la cara.
Si te ha gustado este artículo sobre las Enfermedades de los Dientes, te recomendamos el que tenemos sobre las enfermedades bucales más comunes, sin embargo, si lo que quieres es conocer las que sufrimos en los dientes, te dejamos a continuación todos los que tenemos al respecto:

Cómo Curar el Dolor de Dientes

Eliminar Sarro de los Dientes

Quitar el Dolor de Muelas

Qué es la Piorrea

Dolor de la Muela del Juicio

Sensibilidad Dental

Absceso Dental
Contenido original en http://dbbeebom
Si cree que algún contenido infringe derechos de autor o propiedad intelectual, contacte en [email protected].
Copyright notice
If you believe any content infringes copyright or intellectual property rights, please contact [email protected].