¿Piorrea? Conoce todo de la Periodontitis 【octubre del 2025 】

La piorrea es una afección que afecta directamente a las encías, llegando a perjudicar sus tejidos e involucrando, por ello, a los dientes. Se trata de una enfermedad que hay que tratar en cuanto sea detectada ya que si se permite que avance, podría conllevar la pérdida de una o varias piezas dentales.
Aunque los daños que provoca la piorrea no son reversibles, sí pueden aplicarse remedios y tratamientos para evitar que sigan adelante. Para saber las causas, síntomas y tratamientos acerca de esta enfermedad de las encías, sigue leyendo.

ÍNDICE DE CONTENIDO
1
¿Qué es la Piorrea?
2
Cuáles son las Causas de las Enfermedades Periodontales
3
Cuáles son los Síntomas Comunes
4
Consecuencias de la Periodontitis
5
Cómo se Cura la Piorrea
6
Cómo prevenir la Enfermedad
¿Qué es la Piorrea?
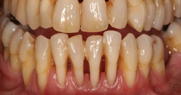
La piorrea es una enfermedad periodontal, es decir, que afecta directamente a las encías y por ello recibe también el nombre de periodontitis. Su origen está en otra enfermedad de las encías, la gingivitis, que se origina a causa del exceso de placa bacteriana en los dientes que acaba destruyendo los tejidos de las encías.
La placa bacteriana, inicialmente pegajosa y blanda, se endurece hasta convertirse en sarro y éste se deposita en la línea que une el diente con la encía. Si no se realiza una limpieza dental profesional, el sarro comienza a deslizarse bajo la encía formando bolsas que se extienden hasta llegar a la raíz del diente.
Hay que tener precaución porque la piorrea se puede contagiar, aunque solamente en contadas ocasiones y nunca por el aire, eso sí. De hecho, no es suficiente con que las bacterias entren en contacto con unas encías sanas sino que es necesario que se den también algunas de las causas que se han mencionado más arriba. Además, el contacto debe ser prolongado por lo que los besos suelen ser una de esas ocasiones en las que la piorrea se puede contagiar de una persona a otra.
La piorrea afecta especialmente a adultos mayores de 35 años
La periodontitis provoca la recesión de las encías y la pérdida del hueso que sujeta los dientes. Cuando esto ocurre, las piezas dentales no pierden su modo de sujeción y acaban cayéndose. La única solución a este hecho es colocar un implante con un diente nuevo.

Por ello, la diferencia entre la gingivitis y la periodontitis es que la primera tiene carácter reversible mientras que la segunda causa daños que tienen una difícil reparación.
Tipos de Periodontitis o Piorrea
Existen tres tipos de periodontitis o piorrea:
- Crónica. Es habitual especialmente entre los fumadores aunque puede darse también por estrés, diabetes o por alteraciones en el sistema inmunológico que provoquen que éste baje las defensas del organismo. Los cigarros agravan el problema porque inhiben la inflamación y el sangrado de encías facilitando que la enfermedad permanezca oculta más tiempo, agravándose.
- Agresiva. Avanza con mucha más rapidez que la crónica. Aunque implica una menor cantidad de placa bacteriana, ésta destruirá igualmente los tejidos de las encías. Por lo general este tipo de periodontitis o piorrea suele aparecer en la pubertad o adolescencia y concentrada solamente en un lado de la boca.
- Úlcero-necrosante. Aparece en personas entre los 20 y los 25 años. No solo se desarrolla con mucha rapidez sino que también provoca un gran dolor. Provoca la aparición de papilas gingivales y márgenes necróticos y ulcerados en la boca. La zona afectada se cubre con una membrana amarillenta que suele sangrar con facilidad, incluso aunque no haya ningún roce. Por lo general surge ante condiciones de higiene dental pésimas o por la presencia de una enfermedad relacionada con el sistema inmunológico.

Cuáles son las Causas de las Enfermedades Periodontales
Dentro de las causas que pueden provocar la aparición de la piorrea o periodontitis hay algunas que son más frecuentes que otras y que, en su mayoría, son fáciles de evitar.
- Higiene bucodental deficiente. Es necesario cepillarse los dientes después de cada comida y complementar esta limpieza con el uso de hilo dental y enjuague bucal. Si se descuida la limpieza diaria de los dientes, la placa bacteriana comenzará a desarrollarse y a instalarse en las encías dando lugar a la gingivitis y, si esta no se trata, a la periodontitis o piorrea.
- No acudir periódicamente al odontólogo. Normalmente se tiene la costumbre de acudir a la consulta del médico solamente cuando hay molestias y dolores evidentes. Sin embargo, en el caso del odontólogo, es conveniente ir al menos una vez al año a realizar una revisión y también una limpieza completa y profesional de la boca. De esta manera, resulta mucho más sencillo prevenir cualquier enfermedad bucodental antes de que esté demasiado avanzada.

- Malos hábitos. Son muchas las costumbres que pueden llegar a provocar una piorrea. Fumar y beber en exceso y comer alimentos poco saludables son algunos ejemplos de lo que habría que evitar en aras de mantener la salud bucodental.
- Determinadas enfermedades. Ciertas enfermedades conllevan efectos secundarios que están relacionados con las encías y los dientes. Algunas de estas afecciones son la diabetes, la osteoporosis o el sida.
- Influencia genética. Cuando existe alguien en la familia con piorrea, aumentan las posibilidades de contraer la enfermedad también.
Cuáles son los Síntomas Comunes
Existen una serie de síntomas que facilitan la identificación de la piorrea o periodontitis. Es importante no solamente prestar atención a dichos síntomas sino también acudir a la consulta del odontólogo o periodoncista cuanto antes para poder poner un remedio y atajar los efectos de la enfermedad.
- Sangrado de encías durante el cepillado de dientes o al comer alimentos duros como, por ejemplo, una manzana con piel. Es importante saber que las encías nunca deben sangrar, por ningún motivo, así que en el momento en el que se perciba que esto ocurre hay que acudir al odontólogo. Sin embargo, en el caso de los fumadores esto se complica ya que las toxinas del tabaco dificultan el flujo sanguíneo en las encías por lo que éstas pueden no sangrar a pesar de sufrir periodontitis.

- Retracción de las encías. Las encías se esconden, plegándose hacia atrás. De este modo, no solamente da la impresión de que los dientes tienen un tamaño mayor al normal sino que, además, queda al descubierto la raíz de los mismos con los riesgos que ello conlleva.
- Movilidad de los dientes. La piorrea ataca a los tejidos de las encías y los debilita por lo que se afloja la sujeción que éstas ejercen en los dientes. Debido a esto, las piezas dentales pueden comenzar a moverse, primera señal de que pueden caerse.
- Aparición de espacios entre los dientes. Conforme la encía va desapareciendo por efecto de la piorrea, se forman espacios entre las piezas dentales que se hacen cada vez más visibles y afectan directamente a la estética general del rostro ya que, a simple vista, tienen la apariencia de huecos negros.
- Halitosis y mal sabor de boca. Ambos factores se deben al material de desecho que queda en la boca producto de la placa bacteriana y del sarro que cubre los dientes y las encías.

- Sensibilidad en los dientes y en las encías, especialmente ante los cambios de temperatura. Se producen molestias al consumir alimentos demasiado fríos o demasiado calientes. Este síntoma puede implicar tanto a dientes como a encías, o solamente a uno de los dos.
- Inflamación de las encías. Además de mostrarse inflamadas, las encías muestran un color rojo brillante que destaca mucho por lo que es difícil que este síntoma pase inadvertido.
- Dolor en las encías al masticar.
- Depósitos duros en los dientes de color verde-marrón, amarillo o blanco. Se trata de la placa bacteriana convertida en sarro endurecido sobre los dientes y las encías.
- Desplazamiento de los dientes. Cuando la periodontitis o piorrea está muy avanzada y se empieza a degradar el tejido blando de las encías, los dientes pierden cierta sujeción y se desplazan de su sitio. Esto hace que los dientes se vean descolocados o que aparezcan huecos entre ellos.
- Aparición de abcesos. También conocidos con el familiar nombre de flemones, aparecen alrededor de los dientes y están considerados como una de las afecciones más dolorosas dentro del campo de la salud bucodental. Son muy peligrosos ya que la infección que contienen puede llegar hasta el torrente sanguíneo extendiendo las toxinas y bacterias hacia otros órganos del cuerpo.
Consecuencias de la Periodontitis
Las principales consecuencias de la piorrea son tanto estéticas, ya que altera el aspecto de la boca y de los dientes, como funcionales, porque afecta a la hora de realizar movimientos mecánicos como el acto de masticar o de hablar. Además, también puede tener un impacto en la vida social de quien padece piorrea ya que uno de sus síntomas es un mal aliento muy pronunciado.
Es un error pensar que la periodontitis o piorrea es una enfermedad que afecta tan solo a los dientes y a las encías. De hecho, padecer piorrea puede favorecer la aparición o el progreso de otras enfermedades sistémicas como pueden ser las enfermedades cardiovasculares, diabetes, enfermedades respiratorias, artritis reumatoide, síndrome metabólico, obesidad o incluso alteraciones en el embarazo que se pueden manifestar en forma de nacimientos prematuros como explicaremos más adelante.

Además, diversos estudios han advertido que el hecho de padecer piorrea o periodontitis supone un aumento en las posibilidades de desarrollar un tumor, especialmente en el pulmón, en el colon o en el recto.
- Corazón. La peridontitis altera las placas ateroma por lo que aumenta la probabilidad de sufrir un infarto, especialmente si se une a otros factores propicios para ello como, por ejemplo, la obesidad o el tabaco. Por otro lado, la arterioesclerosis, una enfermedad inflamatoria, se ve favorecida por focos infecciosos no controlados como puede ser la periodontitis. De hecho, esta enfermedad puede hacer que una arterioesclerosis derive en síndromes coronarios bastante graves. Esto ocurre porque, cuando la periodontitis no se trata de la forma correcta, se liberan toxinas y bacterias al torrente sanguíneo que acaban llegando al corazón al igual que a otros órganos. Estos elementos provocan obstrucciones en las arterias coronarias que aumentan el riesgo de infarto.
- Disfunción eréctil. Se ha comprobado que en muchos pacientes masculinos la periodontitis y la disfunción eréctil han estado presentes al mismo tiempo por lo que se considera que ambas enfermedades están relacionadas.

- Diabetes. El hecho de tener piorrea provoca que el organismo desarrolle una resistencia mayor a la insulina por lo que se dificulta mucho el control existente sobre los niveles de azúcar. De hecho, la diabetes y la periodontitis son dos enfermedades muy relacionadas ya que los diabéticos tienen propensión a desarrollar periodontitis y al mismo tiempo, quienes padecen periodontitis tienen más posibilidades de sufrir problemas de diabetes. Además, la periodontitis destruye el tejido que sujeta los dientes, lo que provoca reabsorción ósea y produce cambios en las células que intervienen en la prevención de las inflamaciones. Por otro lado, las personas diabéticas tienen escasez de flujo salival por lo que tienen una limpieza natural de la boca menos eficaz favoreciendo la aparición de caries, infecciones y diversas infecciones de las encías entre las que se encuentra la periodontitis o piorrea.
- Embarazo. La llamada «gingivitis del embarazo» puede provocar un nacimiento prematuro. Se recomienda realizarse una limpieza bucodental profesional entre el tercer y el sexto embarazo y acudir al odontólogo en caso de que aparezcan algunos de los síntomas mencionados más arriba, especialmente el sangrado de encías.
Cómo se Cura la Piorrea
El odontólogo o periodoncista serán siempre quienes decidan el tratamiento que se debe seguir para el eliminación de la piorrea o periodontitis. El motivo es, aparte de que siempre hay que seguir las recomendaciones de un profesional, que este tratamiento es distinto en cada persona ya que depende de la gravedad del caso. Por lo general, si la piorrea se encuentra en un estado inicial, bastará con una limpieza bucodental profesional junto con el raspado de la raíz del diente. Un antibiótico completará este tratamiento en caso de existir una infección.
Los tratamientos de la piorrea siempre deben ir seguidos de un mantenimiento a cargo del profesional enfocado a que la enfermedad no vuelva a desarrollarse ni a corto ni a largo plazo. Por lo general, el periodoncista suele programar visitas cada tres o seis meses, dependiendo de la gravedad del caso, para revisar las encías y los dientes y comprobar que la piorrea no va a regresar.

Tratamiento Periodontal Básico (Curetaje Dental)
El curetaje dental es un tratamiento enfocado especialmente a tratar la piorrea. También se conoce con los nombres de raspado y alisado radicular. Este proceso se lleva a cabo una vez que el sarro ha avanzado más allá de los dientes introduciéndose bajo las encías y formando las bolsas periodontales. Estas bolsas son, precisamente, el rasgo que evidencia de forma clara la presencia de una periodontitis o piorrea. Consisten en bolsas que se forman entre el diente y la encía que se llenan con sarro y bacterias que van destruyendo el tejido poco a poco.
Aunque se conoce con el nombre de curetaje al tratamiento completo, la verdad es que solo es una parte del proceso
El primer paso que se realiza para comenzar este tratamiento es aplicar anestesia local para poder acceder a las bolsas periodontales y limpiarlas en su totalidad sin provocar ningún tipo de dolor o molestia al paciente. Lo único que éste notará es la sensación de raspado mientras el odontólogo está trabajando pero en ningún momento será incómodo o doloroso.

Una vez practicada la anestesia, se lleva a cabo el raspado dental, es decir, se retira el sarro que se ha acumulado debajo de la encía, y después se alisa la raíz del diente con la seguridad de que no queda ningún resto. En ocasiones, es necesario practicar incisiones en la encía para levantar la piel y poder limpiar bajo la misma.
El curetaje dental es un proceso que se lleva a cabo en apenas dos o tres visitas a la consulta del especialista y no conlleva ingreso hospitalario, por lo que el impacto en la vida cotidiana del paciente es prácticamente nulo.
De la misma manera, apenas hay efectos secundarios excepto una leve sensibilidad en la zona tratada que desaparece a los pocos días y el efecto adormecedor de la anestesia que se pasa en unas horas. Durante los días siguientes a la intervención hay que seguir las instrucciones del odontólogo que se basan en cuidados relacionados con la higiene bucodental y un tratamiento de analgésicos y antiinflamatorios en caso de que sean necesarios igralkin.es.
Un curetaje dental no es lo mismo que una limpieza dental ya que el primero solo se realiza cuando el paciente ya presenta piorrea mientras que la segunda se lleva a cabo en personas sin problemas bucodentales
Tras el curetaje, el odontólogo programa unas revisiones cada cuatro o seis meses para comprobar que la enfermedad no se sigue desarrollando por lo que, en muy pocas ocasiones será necesario repetir el proceso al completo. Por lo general, el especialista irá realizando limpiezas periódicamente para evitar que se vuelva a producir una piorrea. Este seguimiento debe ir complementado con la adquisición de buenos hábitos en casa como el cepillado de dientes tres veces al día y el abandono de costumbres como el tabaco o el exceso de alcohol.

Cirugía Periodontal
En los casos en los que la piorrea o periodontitis está muy avanzada, el curetaje dental puede llegar a no ser del todo efectivo, haciéndose necesaria la cirugía periodontal. Mediante este proceso, se puede llegar a eliminar las bolsas periodontales que están demasiado profundas como para alcanzarlas con los instrumentos que se usan habitualmente en el curetaje dental.
Se recurre a la cirugía cuando las bolsas periodontales están a más de 6 mm de profundidad
Esta intervención consiste en separar y levantar el colgajo, la mucosa que se encuentra alrededor de la raíz del diente. Cuando todo el área es accesible y se encuentra a la vista del especialista, éste se encarga de eliminar todo el sarro que haya acumulado en esa zona. Tras limpiar y desinfectar, sutura de nuevo la mucosa que ha retirado para volver a cubrir la raíz del diente.
Sin embargo, en ocasiones, al realizar esta operación se debe recurrir al Emdogain, un medicamento realizado a base de proteínas biológicas que se inyecta en la superficie de la raíz del diente afectado. Esto hace que, en casos en los que existe una importante pérdida ósea, se regeneren los tejidos de las encías una vez que se haya cerrado la incisión.
Una vez que se ha realizado esta cirugía, el especialista dará las indicaciones necesarias al paciente que dependerán según el caso. Por lo general, consisten en mantener una adecuada higiene bucodental con un cepillo de dientes quirúrgico, acudir a las revisiones programadas y tomar analgésicos o antiinflamatorios en caso de ser necesario y siempre tras consultar dosis, frecuencia y duración con el odontólogo.

Cómo prevenir la Enfermedad
Como ocurre con prácticamente cualquier enfermedad relacionada con el ámbito bucodental, el principal factor que hay que tener en cuenta para evitar la aparición de la piorrea es mantener una adecuada higiene dental. Cepillarse los dientes y complementarlo con el uso de hilo dental y enjuague bucal ayuda a eliminar la placa bacteriana, evitando la formación de sarro y el daño a las encías.
También es recomendable acudir a la consulta del dentista al menos una vez al año, no solamente pare revisar que todo esté bien sino también para que lleve a cabo una limpieza dental profesional. De esta forma, se evita que aparezca la piorrea y, en caso de que esté comenzando a desarrollarse, se puede actuar a tiempo, antes de que tenga mayores consecuencias para los dientes y las encías.
Hay que evitar en la medida de lo posible el abuso de los alimentos con azúcar y de las bebidas refrescantes con gas ya que no ayudan en absoluto a mantener una correcta salud bucodental. Las bacterias que se encuentran en el interior de la boca utilizan los azúcares para transformarlos en ácidos que atacan el esmalte dental y provocan la aparición de caries y otras enfermedades.
En caso de estar embarazada o de creer estarlo, hay que acudir al odontólogo ya que durante el período de gestación suelen surgir problemas en torno a los dientes
Sin embargo, existen otros alimentos que sí pueden ayudar a mantener los dientes y las encías en buen estado. Frutas como el arándano, el kiwi o las uvas, alimentos ricos en Omega-3 como el salmón o la caballa y frutos secos como las nueces son muy recomendables para mantener una boca sana. El té verde también es apropiado ya que tiene propiedades antioxidantes.

Siguiendo con el asunto de la alimentación, picar entre horas es un hábito del que hay que desprenderse para evitar la periodontitis y en general, para mantener un buen estado de salud. Los dulces, la bollería, los snacks industriales y los zumos tienen muchos elementos que favorecen la aparición de las caries así que se pueden sustituir por fruta o lácteos. Además, se suma el hecho de que, por lo general, no se recurre al cepillado de dientes cuando se pica entre horas por lo que se favorece el desarrollo de las bacterias del interior de la boca.
Teniendo en cuenta que la periodontitis o piorrea puede tener un origen genético, es conveniente atender a los problemas al respecto que pueden sufrir o haber sufrido los familiares cercanos para poder extremar los cuidados de la boca desde edad temprana. Además, si se padece diabetes es conveniente vigilar los dientes y las encías ya que son enfermedades muy relacionadas entre sí como ya se ha comentado más arriba.
Manteniendo estas directrices es muy difícil que la piorrea llegue a aparecer y, en caso de que lo haga, se podrá tratar fácilmente. Por ello, es muy importante saber detectar con rapidez la enfermedad y su progreso pues, de lo contrario, no solamente se corre el riesgo de perder piezas dentales de forma irreversible sino también de que aparezcan otras enfermedades derivadas de esta infección.
Si te ha gustado nuestro artículo sobre Qué es la Piorrea entonces no te pierdas el que tenemos preparado sobre las enfermedades de los dientes, también tenemos uno con todas las enfermedades de la boca que puede ser de tu agrado.

Enfermedades de los Dientes

Absceso Dental

Dolor de la Muela del Juicio

Sensibilidad Dental

Cómo Curar el Dolor de Dientes

Eliminar Sarro de los Dientes
Contenido original en http://dbbeebom
Si cree que algún contenido infringe derechos de autor o propiedad intelectual, contacte en [email protected].
Copyright notice
If you believe any content infringes copyright or intellectual property rights, please contact [email protected].